Babies during the sixth week of fetal development still have a lot of growing left to do and lack many distinct features. How big is my unborn baby at 6 weeks.

Rabbit Reproduction Basics Lafebervet

K12 Human And Other Animal Development Embryology

Rebeccaudesma9 Week 6 Biotechnology And Art
Transverse section through primitive groove of rabbit embryo van beneden.

6 week rabbit embryo.
Has the news sunk in yet.
A complete guide on fetal development.
However if desired embryos can be cultured up.
Frequent urge to pee.
Although arm and leg buds are visible with hand and foot pads the embryo still has a tail and cannot be distinguished from pig rabbit elephant or chick embryo by an untrained eye.
Many pregnant women find that moodiness flares up around 6 to 10 weeks.
Hamburger found in an embryo of four weeks that the ventral pancreas arose from the intestinal wall some distance below the bile duct.
2020 april 15 embryology paper models of the pancreas in embryos of the pig rabbit cat and.
Paper models of the pancreas in embryos of the pig rabbit cat and man.
B section through hensens node of embryo of 7 days and 3 hours.
Needing to pee more often is among the most common early signs of pregnancy and it usually starts at about 6 weeks.
At 6 weeks your baby is about the size of a pea and hisher body is curved over into c shape.
It usually starts around 6 weeks of pregnancy and is likely to ease up by the end of the first trimester.
Add to that some pretty uncomfortable early pregnancy symptoms which include hormone fluctuations that can feel like pmson steroids and its understandable to feel downright miserable.
Medically reviewed by nicole galan rn on march 14.
Your doctor may even be.
Transverse section through primitive groove of rabbit embryo van beneden.
A section through primitive streak of embryo of 6 days and 18 hours.
Rabbit embryos are less susceptible to damage by in vitro culture than some other mammalian species but if they are to complete gestation it is beneficial to minimize their time in vitro and usually best to transfer embryos to recipients directly after microinjection.
In this article we will discuss the symptoms you can expect at 6 weeks pregnant what your hormones are doing the.
Embryo rabbits of about nine days from the dorsal side.
Weeks 1 to 8 are known as the embryonic period.
6 in vitro embryo culture.
At week six pregnancy is still new to you so its normal to feel a little emotional.
Babys heart starts to beat at the start of this week.
Your baby is now an embryo.
During the first month each baby is an embryo consisting of two layers of cells from which all her organs and body parts will develop according to babycenter.
A remarkable look at fetal.

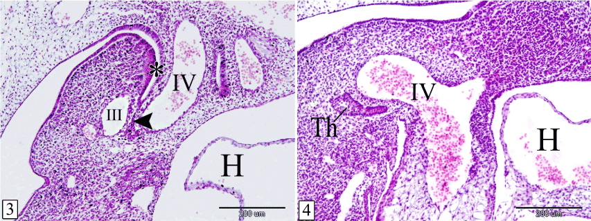
Morphogenesis Of The Thymus In Rabbit During Prenatal And Early
Inner Cell Mass Wikipedia

Investigating The Role Of Bcar4 In Ovarian Physiology And Female

Morphogenesis Of The Thymus In Rabbit During Prenatal And Early

Frontal View Of A 6 Week Old Embryo Stock Image P680 0480
How To Know If Your Rabbit Is Pregnant 10 Steps With Pictures
Tidak ada komentar:
Posting Komentar